
近日,放射科联合麻醉科为一名晚期食管癌患者成功实施无痛经皮胃造瘘术,标志着我院在肿瘤营养介入治疗中多学科协作与个体化无痛管理方面取得重要突破。“这不是单纯的技术突破,更是医疗温度的体现”放射科主任杨光强调,“通过术前心理疏导、术中舒适化医疗、术后全方位护理的三维关怀体系,我们真正践行了以患者为中心的服务理念。”

患者因食管癌多次行局部放疗及全身免疫治疗,食管颈段局部明显狭窄伴炎性渗出表现,进食、水均出现疼痛及不耐受反应。因鼻饲营养管需长时间留置病变段,对局部刺激较大且创口不易愈合,此前先后两次尝试导丝引导通过病变段,患者均因疼痛不能耐受而被迫中止手术,患者及家属身心出现巨大恐惧和压力。经相关科室MDT讨论,最终拟定在静脉麻醉下行经皮胃造瘘术。
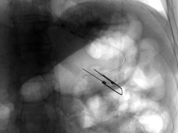
没有营养支持,患者无法进一步治疗,建立肠内营养通路迫在眉睫。放射科介入团队创新性提出全麻护航的手术方案,杨光主任与麻醉科沟通后,为患者制定了个体化镇静镇痛策略,同时采用联合DSA透视下的精准引导,快速将导丝及导管经口鼻迅速置入胃腔内,短时间内精准定位穿刺点,操作时间仅用15分钟。患者术中无不良反应,术后5分钟即恢复意识,造瘘管引流通畅,实现了全程无痛介入。
从“疼痛难忍”到“无痛安全”,从“反复失败”到“一气呵成”,此例手术的成功实施,彰显了我院介入治疗团队攻坚克难的专业实力,也是多学科协作诊疗模式的生动呈现。放射科将持续深化舒适化医疗探索,让更多患者享受精准微创的优质医疗服务,积极推动舒适化医疗在介入领域的实践应用,让更多肿瘤患者受益。
文/杨东强 黄景香